Click here to see all images
December, 2025
Case of the Month
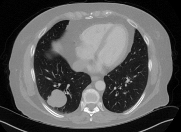
Clinical History:A 74-year-old woman, never smoker, with no significant past medical history, was found to have an incidental left upper lobe lung nodule following a fall. The lesion showed progressive growth, and a biopsy was performed (see Figures 1 through 6).
Q1. What age group typically presents with this tumor?
- Children (1st-2nd decade)
- Middle-aged adults (5th-6th decade)
- Older adults (7th-8th decade)
- Young adults (3rd-4th decade)
Q2. What is the most common primary site of this tumor?
- Axial/appendicular skeleton
- Brain
- Lung
- Lymph node
Q3. What is the most common genetic alteration in this tumor?
- BCOR::CCNB3 fusion
- CIC::DUX4 fusion
- EWSR1::FLI1 fusion
- EWSR1::WT1 fusion
- Inactivating RB and TP53 mutations
Answers to Quiz
Q1. A
Q2. A
Q3. C
Q2. A
Q3. C
Diagnosis
Ewing sarcoma
Discussion
Ewing sarcoma (ES) is an aggressive small round cell sarcoma that accounts for 6-8% of primary malignant bone tumors. It is more common in children and young adults, with only ~20% of cases occurring in adults over 30 years old. ES typically presents as primary lesions in the long bones, pelvis, and ribs. Extraskeletal presentation is limited to 12% of patients, and accounts for only 1% of all soft tissue sarcomas. The most common sites of extraskeletal involvement are the chest wall, paravertebral muscles, gluteal muscles, and retroperitoneal space. Rarer primary sites have been described, including the lung, where only sporadic cases of primary pulmonary ES have been reported in the literature.
Clinically, ES has varied presentations, and the symptoms depend on the tumor site and extent. While a subset of primary pulmonary ES is asymptomatic and found incidentally on imaging for an unrelated indication, most patients present with non-specific symptoms. The most frequent clinical manifestations include dyspnea, cough, chest pain, fever, and hemoptysis.
On imaging, primary pulmonary ES is generally a solitary well-circumscribed mass. They often have a heterogenous appearance, due to the necrosis and hemorrhage associated with these tumors. In general, extraskeletal ES should not have an osseous component and, in primary pulmonary ES, calcification is rare. Because the lung is the most common site of ES metastasis, it is critical to exclude a skeletal primary.
Histologically, these tumors are composed of a monotonous population of small round, uniform cells with scant clear or eosinophilic cytoplasm, indistinct cell borders, fine chromatin, and inconspicuous nucleoli (Figures 1 through 3). Tumors with more prominent neuroectodermal differentiation may have conspicuous Homer Wright rosettes, with groups of tumor cells arranged around a central fibrillary core. Commonly, there is necrosis, hemorrhage, or cystic changes. Immunohistochemistry is pivotal to distinguishing these tumors from other primary lung neoplasms. ES shows strong diffuse membranous CD99 (Figure 4) and nuclear NKX2.2 expression (Figure 5), the latter of which is more specific than the former. FLI-1 and ERG may also be positive in tumors with corresponding gene fusions. Additionally, these tumors are often positive for periodic acid–Schiff (PAS) and are diastase sensitive. A subset may stain with neuroendocrine markers (Figure 6), a potential pitfall in the differential diagnosis with small cell carcinoma. S100 expression may also be seen, raising the consideration of melanoma. ES is consistently negative for TTF-1, cytokeratins, and desmin.
Greater than 90% of ES cases are associated with an EWSR1 gene fusion with either FLI1 (majority) or ERG. Thus, detection of an EWSR1 gene rearrangement by fluorescence in situ hybridization (FISH) or RNA-based molecular testing is desirable for a definitive diagnosis.
Primary pulmonary ES often progresses rapidly, causing local sequelae such as pleural effusion, airway obstruction, and mediastinal shift. They often invade into adjacent structures, but distant metastases are rare. If feasible, surgery is the best option for treatment, where the use of adjuvant chemotherapy and radiotherapy is common. Unfortunately, there are no gene-targeted or immunological therapies currently being used to treat these tumors, although the use of tyrosine kinase inhibitors has showed some promise. Despite advances in treatment, prognosis remains poor.
Take-home message for trainees:
While the majority of Ewing sarcoma in the lung is the result of metastasis from a bone primary, there are rare cases of primary pulmonary Ewing sarcoma. It is important to keep these tumors in the differential diagnosis when encountering a small round blue cell tumor in the lung, regardless of the patient’s age.
Clinically, ES has varied presentations, and the symptoms depend on the tumor site and extent. While a subset of primary pulmonary ES is asymptomatic and found incidentally on imaging for an unrelated indication, most patients present with non-specific symptoms. The most frequent clinical manifestations include dyspnea, cough, chest pain, fever, and hemoptysis.
On imaging, primary pulmonary ES is generally a solitary well-circumscribed mass. They often have a heterogenous appearance, due to the necrosis and hemorrhage associated with these tumors. In general, extraskeletal ES should not have an osseous component and, in primary pulmonary ES, calcification is rare. Because the lung is the most common site of ES metastasis, it is critical to exclude a skeletal primary.
Histologically, these tumors are composed of a monotonous population of small round, uniform cells with scant clear or eosinophilic cytoplasm, indistinct cell borders, fine chromatin, and inconspicuous nucleoli (Figures 1 through 3). Tumors with more prominent neuroectodermal differentiation may have conspicuous Homer Wright rosettes, with groups of tumor cells arranged around a central fibrillary core. Commonly, there is necrosis, hemorrhage, or cystic changes. Immunohistochemistry is pivotal to distinguishing these tumors from other primary lung neoplasms. ES shows strong diffuse membranous CD99 (Figure 4) and nuclear NKX2.2 expression (Figure 5), the latter of which is more specific than the former. FLI-1 and ERG may also be positive in tumors with corresponding gene fusions. Additionally, these tumors are often positive for periodic acid–Schiff (PAS) and are diastase sensitive. A subset may stain with neuroendocrine markers (Figure 6), a potential pitfall in the differential diagnosis with small cell carcinoma. S100 expression may also be seen, raising the consideration of melanoma. ES is consistently negative for TTF-1, cytokeratins, and desmin.
Greater than 90% of ES cases are associated with an EWSR1 gene fusion with either FLI1 (majority) or ERG. Thus, detection of an EWSR1 gene rearrangement by fluorescence in situ hybridization (FISH) or RNA-based molecular testing is desirable for a definitive diagnosis.
Primary pulmonary ES often progresses rapidly, causing local sequelae such as pleural effusion, airway obstruction, and mediastinal shift. They often invade into adjacent structures, but distant metastases are rare. If feasible, surgery is the best option for treatment, where the use of adjuvant chemotherapy and radiotherapy is common. Unfortunately, there are no gene-targeted or immunological therapies currently being used to treat these tumors, although the use of tyrosine kinase inhibitors has showed some promise. Despite advances in treatment, prognosis remains poor.
Take-home message for trainees:
While the majority of Ewing sarcoma in the lung is the result of metastasis from a bone primary, there are rare cases of primary pulmonary Ewing sarcoma. It is important to keep these tumors in the differential diagnosis when encountering a small round blue cell tumor in the lung, regardless of the patient’s age.
References
Fedeli MA, Marras V, Fara AM, et al. Primary Ewing sarcoma of the lung: A systematic review of the recent literature. Ann Diagn Pathol. 2023;65:152152.
Stork T, Ranft A, Aigner C, et al. Primary mediastinal Ewing's sarcoma: Post hoc analysis from two international multicenter prospective randomized trials. Cancers (Basel). 2025;17(1):118.
Tungate RM, Lara K, Patel D, Fedenko A, Hu J. Remission of a primary, recurrent thoracic Ewing sarcoma in a 74-year-old woman. Rare Tumors. 2022;14:20363613221110836.
De Alava E, Lessnick SL, Stamenkovic I. Ewing sarcoma. In: WHO classification of tumours editorial board. Soft tissue and bone tumours. Lyon (France): International agency for research on cancer; 2020.
Wright A, Desai M, Bolan CW, et al. Extraskeletal Ewing sarcoma from head to toe: Multimodality imaging review. Radiographics. 2022;42(4):1145-1160..
Stork T, Ranft A, Aigner C, et al. Primary mediastinal Ewing's sarcoma: Post hoc analysis from two international multicenter prospective randomized trials. Cancers (Basel). 2025;17(1):118.
Tungate RM, Lara K, Patel D, Fedenko A, Hu J. Remission of a primary, recurrent thoracic Ewing sarcoma in a 74-year-old woman. Rare Tumors. 2022;14:20363613221110836.
De Alava E, Lessnick SL, Stamenkovic I. Ewing sarcoma. In: WHO classification of tumours editorial board. Soft tissue and bone tumours. Lyon (France): International agency for research on cancer; 2020.
Wright A, Desai M, Bolan CW, et al. Extraskeletal Ewing sarcoma from head to toe: Multimodality imaging review. Radiographics. 2022;42(4):1145-1160..
Contributors
Katya Dombrowski, MD
Thoracic Pathology Fellow
Memorial Sloan Kettering Cancer Center, NY
Marina K Baine, MD, PhD
Assistant Attending Pathologist
Memorial Sloan Kettering Cancer Center, NY
Thoracic Pathology Fellow
Memorial Sloan Kettering Cancer Center, NY
Marina K Baine, MD, PhD
Assistant Attending Pathologist
Memorial Sloan Kettering Cancer Center, NY

