Hotel Accomodations
Meeting venue: Palais Montcalm
International Mesothelioma Panel-PPS QUEBEC June 27, 2026 (all PPS members welcome)
November Case of the Month Clinical History:
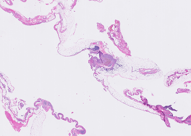
A 32-year-old woman, with no history of smoking or significant medical conditions, presented to a regional hospital with cough, dyspnea, and chest pain. Chest X-ray revealed a right-sided pneumothorax, which was managed with a thoracic drain. The patient experienced recurrence a few weeks later, followed by a third episode a month after. She was referred to a tertiary care center, where she underwent right video-assisted thoracoscopic surgery. Examination revealed a bleb in the middle lobe, prompting blebectomy. During the procedure, a violaceous pedunculated polyp (Figure 1) was found on the diaphragm, excised, and a subtotal parietal pleurectomy with pleurodesis was performed.
Representative H&E histological images of the pleurectomy specimen are shown in Figures 2 to 4 (1X and 20X magnification) and immunohistochemical stains for CD10 and estrogen receptor performed on the area of Figure 4 are presented in Figures 5 and 6, respectively. The diaphragmatic pedunculated polyp was composed of fibroadipose tissue with multifocal nodules with similar histological features as Figure 4 (not shown).
Click here to see more.
A 32-year-old woman, with no history of smoking or significant medical conditions, presented to a regional hospital with cough, dyspnea, and chest pain. Chest X-ray revealed a right-sided pneumothorax, which was managed with a thoracic drain. The patient experienced recurrence a few weeks later, followed by a third episode a month after. She was referred to a tertiary care center, where she underwent right video-assisted thoracoscopic surgery. Examination revealed a bleb in the middle lobe, prompting blebectomy. During the procedure, a violaceous pedunculated polyp (Figure 1) was found on the diaphragm, excised, and a subtotal parietal pleurectomy with pleurodesis was performed.
Representative H&E histological images of the pleurectomy specimen are shown in Figures 2 to 4 (1X and 20X magnification) and immunohistochemical stains for CD10 and estrogen receptor performed on the area of Figure 4 are presented in Figures 5 and 6, respectively. The diaphragmatic pedunculated polyp was composed of fibroadipose tissue with multifocal nodules with similar histological features as Figure 4 (not shown).
Click here to see more.

