Case of the Month - November, 2017
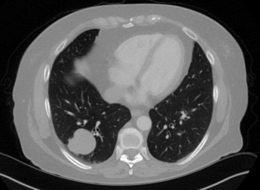
Figure 1 CT chest
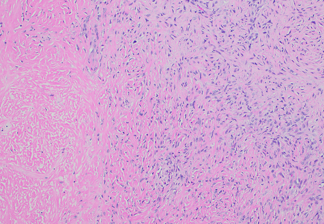
FIgure 2 Low power
Figure 3 rosettes LGFMS_4X
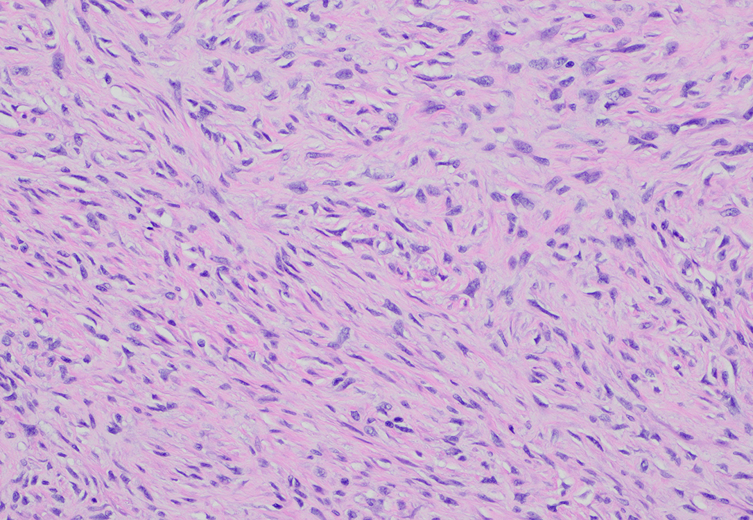
Figure 4_10X
Figure 5_20X
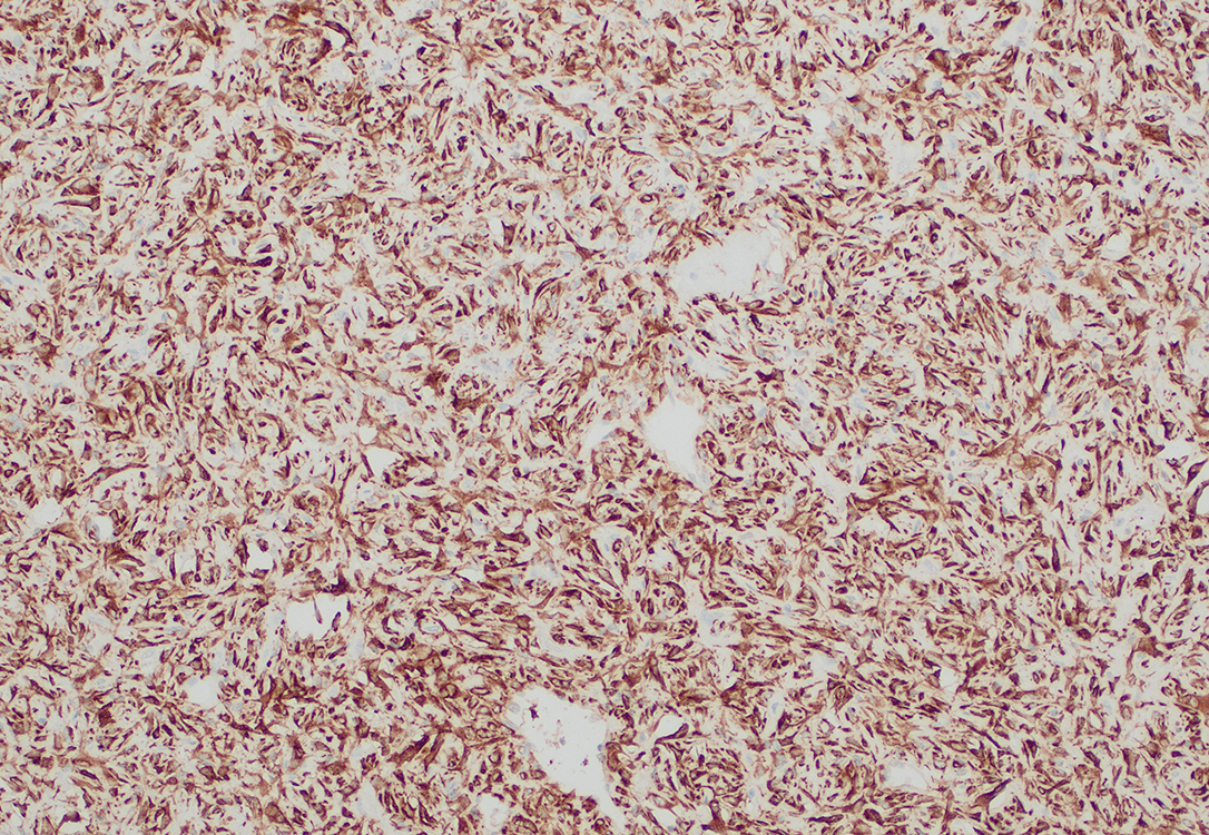
Figure 6_10X MUC4